Một ca phẫu thuật nội soi thành công đã được thực hiện tại Bệnh viện Đa khoa Thủ Đức để điều trị cho nam bệnh nhân Việt kiều 73 tuổi bị bán tắc ruột do khối u đại tràng sigma. Bệnh nhân Đ.V.H.N, hiện đang sinh sống tại Mỹ, về thăm nhà tại phường Hiệp Bình, TP.HCM khi gặp vấn đề sức khỏe nghiêm trọng.

Trước đó, bệnh nhân đã có những triệu chứng bất thường như thay đổi thói quen đại tiện, đi nhiều lần trong ngày, cảm giác đi không hết phân, và có máu trong phân. Tại Mỹ, bệnh nhân đã đăng ký khám nhưng phải chờ đợi nhiều tháng mới được nội soi đại tràng.
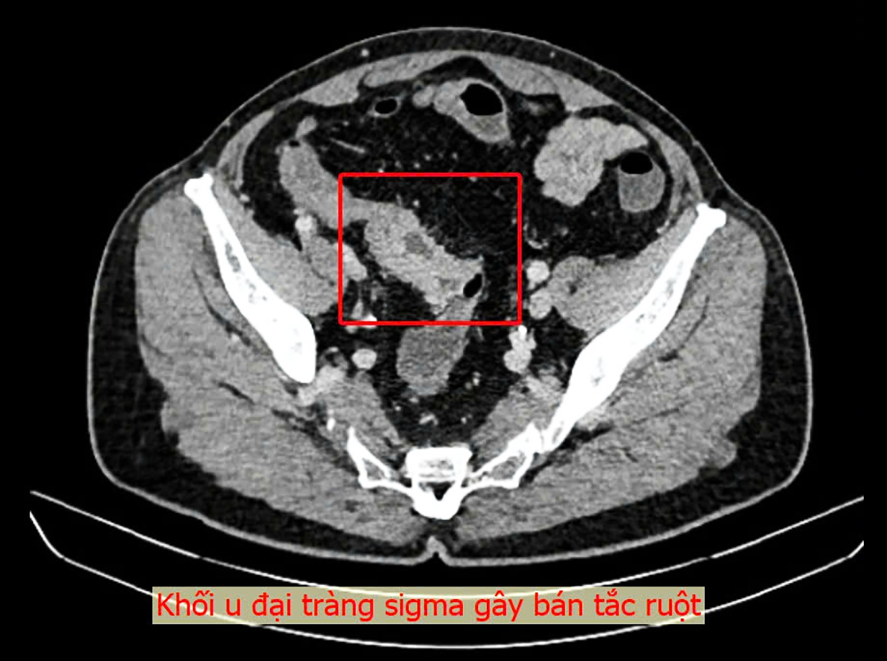
Trong thời gian về Việt Nam, bệnh nhân đã đến khám tại Bệnh viện Đa khoa Thủ Đức. Qua nội soi đại tràng, các bác sĩ phát hiện một khối u lớn tại vị trí sigma-trực tràng, chiếm trọn lòng trực tràng, với đặc điểm mô bở và dễ chảy máu. Sau khi đánh giá toàn diện và xét nghiệm cần thiết, ekip bác sĩ xác định đây là khối u ác tính và cần phẫu thuật gấp.

Ngày 23/09/2025, bệnh nhân nhập viện và được chuẩn bị kỹ lưỡng trong 2 ngày, bao gồm khám tim mạch và hỗ trợ dinh dưỡng. Đặc biệt, bệnh nhân được áp dụng phương pháp ERAS (Enhanced Recovery After Surgery – Phục hồi nhanh sau phẫu thuật) trong chuẩn bị ruột, không sử dụng thuốc sổ trước mổ. ERAS là một phương pháp tiếp cận đa ngành, dựa trên bằng chứng khoa học nhằm tối ưu hóa quá trình chăm sóc cho bệnh nhân trước, trong và sau khi phẫu thuật.
Ca phẫu thuật kéo dài 2 giờ 40 phút, thực hiện cắt bỏ đoạn đại trực tràng chứa u và nạo hạch D2. Kết quả giải phẫu bệnh sau mổ xác nhận đây là carcinôm tuyến đại tràng grade 2, đã xâm nhiễm đến cơ và lớp mỡ dưới thanh mạc.

Với việc áp dụng phương pháp ERAS – vốn là quy trình thường quy trong các phẫu thuật tại khoa Ngoại Tổng hợp Bệnh viện Đa khoa Thủ Đức, bệnh nhân hồi phục nhanh chóng, có thể vận động và tập hô hấp từ ngày đầu tiên sau mổ, ăn uống trở lại từ ngày thứ hai.
Sau 6 ngày điều trị hậu phẫu, bệnh nhân xuất viện với tình trạng ổn định, không ghi nhận biến chứng, vết mổ lành tốt và các chức năng sinh hoạt trở lại bình thường.
BSCKI. Nguyễn Minh Lý – Khoa Ngoại tổng hợp, Bệnh viện Đa khoa Thủ Đức nhấn mạnh: “Việc phát hiện và điều trị sớm khối u đại tràng đóng vai trò quyết định đến tiên lượng của người bệnh. Nếu không được can thiệp kịp thời, khối u sẽ tiếp tục phát triển, gây ra nhiều biến chứng nghiêm trọng như chèn ép, đau đớn, tắc nghẽn đường ruột, loét và chảy máu. Đặc biệt, nguy cơ di căn sẽ tăng cao, khiến bệnh trở nên phức tạp và có thể dẫn đến tử vong sớm.”
Khi có các dấu hiệu bất thường về đường ruột như thay đổi thói quen đi tiêu, đau bụng kéo dài, tiêu phân có máu hoặc nhầy, người dân nên chủ động thăm khám sớm tại các cơ sở y tế chuyên khoa hoặc đến ngay phòng khám Ngoại tổng hợp – Bệnh viện Đa khoa Thủ Đức, nơi có đội ngũ bác sĩ chuyên khoa giàu kinh nghiệm và trang thiết bị hiện đại sẵn sàng thăm khám, tư vấn và điều trị kịp thời cho người bệnh.
Đặc biệt, Bệnh viện Đa khoa Thủ Đức tiếp nhận tất cả các thẻ BHYT trên toàn quốc. Người dân khi đến khám và điều trị tại đây sẽ được hưởng đầy đủ quyền lợi BHYT với mức hưởng cao nhất theo đối tượng. Bệnh nhân không bị giới hạn bởi nơi đăng ký khám chữa bệnh ban đầu và không cần phiếu chuyển cơ sở khám chữa bệnh. Chính sách này giúp người bệnh dễ dàng tiếp cận dịch vụ y tế chất lượng cao, đồng thời tiết kiệm đáng kể chi phí điều trị, góp phần đảm bảo quyền lợi và sức khỏe cho cộng đồng.
