Bệnh viện Đa khoa Thủ Đức vừa thực hiện thành công ca phẫu thuật cắt u gan trái cho nữ bệnh nhân N.T.B.D (24 tuổi, phường Linh Xuân, TP.HCM). Đây là trường hợp đáng chú ý khi người bệnh còn rất trẻ và các triệu chứng ban đầu rất mờ nhạt, dễ bị bỏ qua.

Khoảng hai tháng trước khi nhập viện, chị D chỉ thỉnh thoảng cảm thấy đau âm ỉ vùng dưới xương ức và hạ sườn phải. Tuy cơn đau nhẹ và không kèm triệu chứng tiêu hóa bất thường hay sụt cân, bệnh nhân cảm giác lo lắng do đau âm ỉ kéo dài nên đến khám tại phòng khám Đa khoa Linh Xuân. Tại đây, bác sĩ phát hiện tổn thương bất thường ở gan trái qua siêu âm ổ bụng nên khuyến cáo chị đến bệnh viện để kiểm tra chuyên sâu.
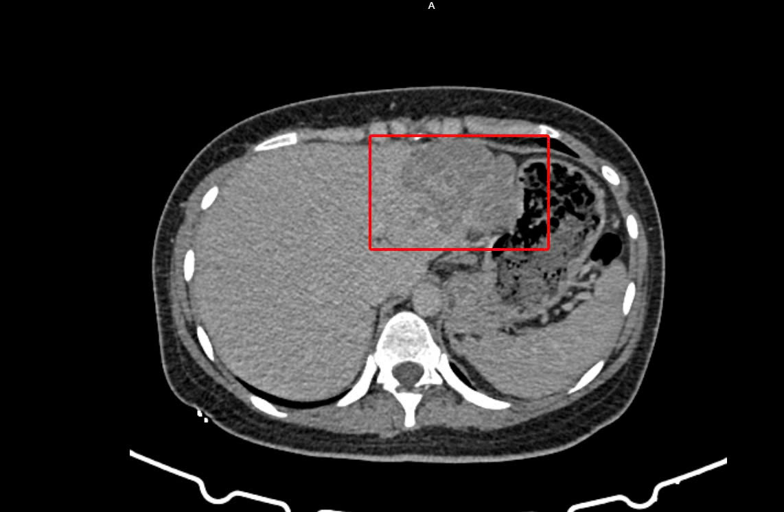
Ngày 09/02, chị D đến Bệnh viện Đa khoa Thủ Đức để thăm khám. Kết quả xét nghiệm máu ghi nhận bệnh nhân nhiễm viêm gan siêu vi B, đồng thời chỉ số AFP – dấu ấn quan trọng trong tầm soát ung thư gan – tăng cao đến 37.555 ng/mL, cho thấy nguy cơ ung thư biểu mô tế bào gan (HCC). Hình ảnh CT Scan bụng có cản quang cũng ghi nhận tổn thương phù hợp với u gan, nghĩ nhiều đến HCC.
Từ các kết quả trên, bệnh viện tiến hành hội chẩn đa chuyên khoa với sự tham gia của các bác sĩ Ngoại Tổng hợp, Ung Bướu và Chẩn đoán hình ảnh. Hội đồng chuyên môn thống nhất chỉ định phẫu thuật cắt gan trái để loại bỏ tổn thương và giảm nguy cơ bệnh tiến triển nặng.

Sau khi được tư vấn đầy đủ, chị D trao đổi với gia đình và đến ngày 17/03 đã nhập viện để chuẩn bị phẫu thuật. Ca mổ kéo dài hơn hai giờ, do bác sĩ chuyên khoa II Mai Hóa – Phó Giám đốc Bệnh viện phụ trách chính ca phẫu thuật cùng ê-kíp thực hiện, với sự hỗ trợ của các thiết bị hiện đại như dao siêu âm Harmonic và máy cắt – nối mạch máu chuyên dụng.
Sau phẫu thuật, bệnh nhân hồi phục ổn định: ăn uống được, không sốt và có thể đi lại từ những ngày hậu phẫu đầu. Dự kiến bệnh nhân sẽ xuất viện vào ngày hậu phẫu thứ bảy và sẽ tái khám để nhận kết quả giải phẫu bệnh, trước khi được khoa Ung Bướu tư vấn hướng điều trị tiếp theo nếu cần thiết.
Theo bác sĩ chuyên khoa I Nguyễn Lê Phú – Khoa Ngoại Tổng hợp, Bệnh viện Đa khoa Thủ Đức, trường hợp của bệnh nhân D cho thấy xu hướng ung thư gan ngày càng trẻ hóa. Ông cho biết: ‘Các bệnh nhân nhiễm viêm gan siêu vi B, siêu vi C có hoặc không kèm xơ gan là các đối tương nguy cơ cao bị ung thư gan -nhưng do ở các giai đoạn sớm rất ít triệu chứng hoặc triệu chứng mơ hồ. Việc tuân thủ điều trị sau phát hiện viêm gan siêu vi, kiểm tra sức khỏe định kì để theo dõi diễn tiến bệnh cũng như phát hiện sớm các thương tổn nghi ngờ giúp định hướng và xử trí sớm, mang lại hiệu quả điều trị cao, giảm tốn kém .”
Bác sĩ đồng thời cảnh báo rằng nếu không được chẩn đoán và phẫu thuật sớm, khối u gan có thể phát triển lớn hơn, lan sang phần gan còn lại và di căn đến các cơ quan khác. Khi đó, khả năng điều trị triệt để sẽ giảm đáng kể, quá trình điều trị trở nên phức tạp hơn, tốn kém hơn và tiềm ẩn nhiều rủi ro.
Từ trường hợp này, các bác sĩ khuyến cáo người dân nên duy trì thói quen khám sức khỏe định kỳ hai lần mỗi năm. Riêng những người thuộc nhóm nguy cơ cao như nhiễm viêm gan B, C hoặc có xơ gan, việc siêu âm gan và làm xét nghiệm máu mỗi 3–6 tháng là vô cùng cần thiết. Khi xuất hiện dấu hiệu nghi ngờ, các kỹ thuật chẩn đoán hình ảnh chuyên sâu như CT Scan hoặc MRI sẽ giúp xác định chính xác tổn thương và đưa ra hướng điều trị phù hợp.
Câu chuyện của bệnh nhân D là lời nhắc mạnh mẽ rằng ung thư gan không chỉ xảy ra ở người lớn tuổi. Ở người trẻ, bệnh càng dễ tiến triển âm thầm và khó phát hiện sớm. Vì vậy, lắng nghe cơ thể, tầm soát đều đặn và không xem nhẹ những triệu chứng nhỏ nhất chính là cách bảo vệ bản thân trước căn bệnh nguy hiểm này.
