Vừa qua, Bệnh viện thành phố Thủ Đức đã thực hiện thành công ca phẫu thuật u nhầy xoang sàng xâm lấn hốc mắt cho bệnh nhân nam 68 tuổi (ngụ tại phường Tam Phú, TP Thủ Đức).

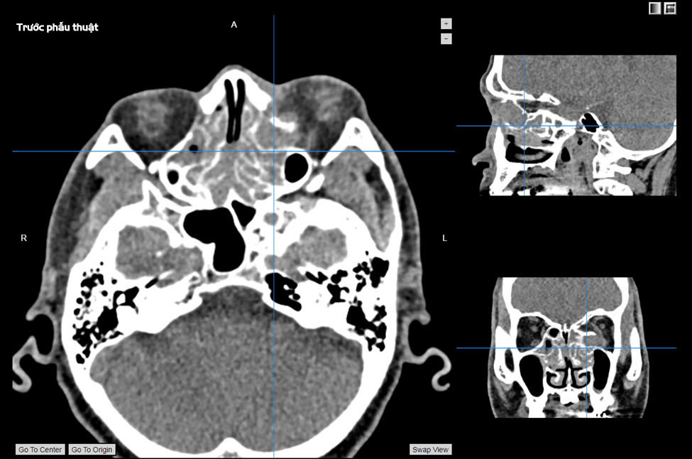
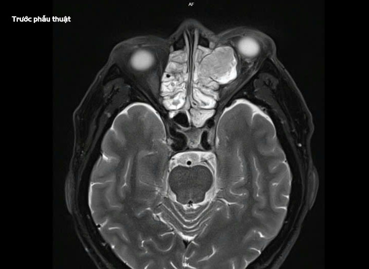
Bệnh nhân xuất hiện triệu chứng sưng đau vùng mắt trái tăng dần 7 ngày trước khi nhập viện tại Khoa Tai Mũi Họng vào ngày 10/03. Qua thăm khám chuyên khoa mắt, các bác sĩ phát hiện tình trạng hạn chế vận động nhãn cầu, mắt lồi và đau khi liếc. Kết quả chụp MRI cho thấy khối u nhầy kích thước 26x24x21mm xuất phát từ xoang sàng trước bên trái, đẩy lồi vào tổ chức phía sau hốc mắt và chèn ép cơ thẳng trong. Bệnh nhân được phẫu thuật ngày 11/03.

Theo BSCKII. Dương Văn Tá – Trưởng khoa Tai Mũi Họng, Bệnh viện thành phố Thủ Đức, u nhầy xoang sàng xâm lấn hốc mắt là một bệnh lý nghiêm trọng, xảy ra khi khối u nhầy (mucocele) phát triển từ xoang sàng và xâm lấn vào hốc mắt. Khi phát triển, khối u sẽ phá hủy thành xoang, xâm nhập và chèn ép các cấu trúc trong và quanh hốc mắt. Người bệnh thường gặp các triệu chứng như lồi mắt, giảm thị lực, song thị, đau nhức hốc mắt, phù nề mí mắt và hạn chế vận động nhãn cầu. Điều trị chính cho bệnh lý này là phẫu thuật, đòi hỏi sự phối hợp đa chuyên khoa để tránh các biến chứng nguy hiểm.
Chia sẻ về ca phẫu thuật, BSCKII. Dương Văn Tá cho biết: “Ca phẫu thuật này gặp nhiều khó khăn do bệnh nhân có tiền sử tăng huyết áp cao (190/110mmHg), trong khi tính chất bán cấp của ca mổ không cho phép có đủ thời gian kiểm soát huyết áp. Thêm vào đó, khối u nhầy lớn đã xâm lấn sâu vào hốc mắt, hủy hoại xương giấy và có mảnh xương đâm vào cơ thẳng trong, gây chảy máu nhiều trong quá trình phẫu thuật.”

Để đảm bảo an toàn cho người bệnh, ekip phẫu thuật đã thực hiện các thao tác hết sức tinh tế, sử dụng kỹ thuật cầm máu đa phương pháp và trang thiết bị hiện đại để tăng khả năng quan sát, từ đó gỡ bỏ thành công mảnh xương và lấy hết bệnh tích.
Sau 5 ngày điều trị tích cực với kháng sinh, kháng viêm và chăm sóc hố mổ, bệnh nhân đã hồi phục nhanh chóng, các triệu chứng song thị biến mất, cử động nhãn cầu trở lại bình thường và được xuất viện.
Thành công này một lần nữa khẳng định năng lực chuyên môn của đội ngũ y bác sĩ Bệnh viện thành phố Thủ Đức trong việc điều trị các ca bệnh phức tạp, góp phần nâng cao chất lượng khám chữa bệnh và chăm sóc sức khỏe cho người dân trên địa bàn.
